복부 초음파로 알 수 있는 것(질병), 검사 비용, 검사 주기
복부 초음파란?
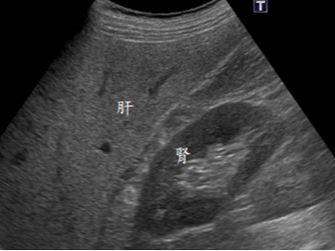
복부 초음파는 초음파(ultrasound)를 이용해 복부 내 장기들의 상태를 확인하는 비침습적 검사 방법입니다. 방사선을 사용하지 않아 인체에 해롭지 않고, 고통 없이 실시간으로 복부 장기들을 관찰할 수 있다는 점에서 가장 기본적이면서도 효과적인 진단도구로 평가받습니다.


초음파 탐촉자(Probe)에서 발생한 고주파 음파가 인체 내부 장기에 부딪혀 반사되며, 복부 초음파로 알 수 있는 것은 바로 이 반사파를 영상화해 간, 담낭, 췌장, 비장, 신장(콩팥), 방광, 대동맥, 림프절 등의 상태를 분석하게 됩니다.
주요 복부 초음파로 알 수 있는 것(질병)


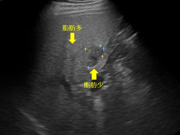
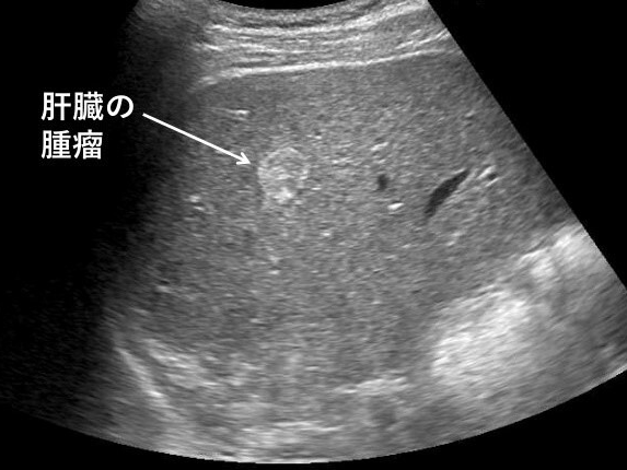
간 질환
- 지방간
- 간경화
- 간암
- 간 낭종
- 간내 혈관 기형






담낭 및 담도 질환
- 담석증
- 담낭염
- 담낭 용종
- 담도 폐쇄
- 담낭암
췌장 질환
- 췌장염
- 췌장 낭종
- 췌장암
- 췌관 확장















신장(콩팥) 질환
- 신장 결석
- 수신증
- 신장 낭종
- 신세포암
비장 질환
- 비장 비대
- 비장 낭종
- 혈관종















복부 대동맥 및 혈관 질환
- 복부 대동맥류
- 혈관 협착
- 혈관 폐쇄
기타 복부 이상소견
- 복부 림프절 비대
- 복수(배 안에 고인 물)
- 복막염 의심 소견
- 장 중첩, 장마비















부신, 방광, 생식기 질환(남성)
- 부신 종양
- 전립선비대증
- 고환 이상
이처럼 복부 초음파는 복통, 소화불량, 오심, 구토, 황달, 복부 팽만감, 배뇨장애, 체중 감소 등 다양한 증상과 관련된 질환을 진단하는 데 매우 유용합니다.



복부 초음파 검사가 필요한 경우
복부 초음파는 특정 증상이 있거나, 기존에 복부 관련 질환을 가지고 있는 경우, 또는 건강검진 목적으로 시행됩니다.
권장 검사 대상
- 지속적 복통, 복부 불쾌감이 있는 경우
- 황달 증상
- 간수치(AST, ALT) 이상
- 체중 급격한 감소
- 피검사상 이상소견(간 기능, 신장 기능, 종양표지자 등)
- 고지혈증, 당뇨, 비만 환자
- 간염 보균자(B형, C형)
- 가족력이 있는 경우(간암, 담도암, 췌장암 등)
- 정기 건강검진 목적
복부 초음파 검사 주기
복부 초음파는 건강상태에 따라 검사 간격을 조절해야 합니다. 보통 일반 건강검진에서는 1~2년에 한 번, 고위험군은 더 자주 권장됩니다.

일반인 기준
- 증상 없는 경우: 1~2년에 한 번
고위험군 기준
- B형 또는 C형 간염 보유자: 6개월 간격
- 간경변 환자: 6개월 간격
- 담낭 용종 소견: 크기 변화 따라 6개월~1년
- 담석증, 지방간 환자: 1년 주기
- 암 수술 후 추적관찰: 3~6개월 간격



복부 초음파 검사 절차
복부 초음파는 통증이 없고 간단한 검사입니다. 소요시간은 약 10~20분 정도입니다.
검사 전 준비사항
- 검사 전 6~8시간 금식 필요
- 물, 투명한 음료는 소량 섭취 가능
- 탄산음료, 유제품은 금지
- 약물은 의사 지시에 따라 복용
검사 절차


- 복부를 노출할 수 있는 복장을 입고 검사실로 입장
- 복부에 젤을 도포
- 초음파 프로브를 이용해 복부 장기 탐색
- 필요한 경우 자세 변경 요청
- 검사 종료 후 젤 닦아냄
검사 시간
- 기본 복부 초음파: 약 10~20분
- 정밀 초음파: 최대 30분



복부 초음파 검사 비용
복부 초음파 비용은 병원급, 종합병원, 의원 등 의료기관의 수준과 보험 적용 여부에 따라 차이가 있습니다.
일반적인 비용 범위
- 건강보험 적용 시: 3만~7만 원
- 비급여 정밀 초음파: 10만~16만 원 이상
- 상급종합병원/대학병원: 평균 12만~20만 원
- 의원급, 건강검진센터: 평균 7만~10만 원
※ 단, 진단 목적(증상 동반)인 경우에는 건강보험 적용 가능.
※ 건강검진 목적으로 받는 경우는 전액 본인 부담(비급여)일 수 있음.






비용 예시
- A 건강검진센터: 일반 복부 초음파 9만 원
- B 종합병원: 정밀 초음파(간+췌장+담낭+신장) 15만 원
- C 의원급 내과: 간 초음파 단독 4만 5천 원 (보험 적용)















복부 초음파의 장단점
장점
- 방사선 노출 없음
- 통증 없는 비침습적 검사
- 실시간 검사 가능
- 비교적 저렴한 비용
- 재검사 용이성















단점
- 검사자 숙련도에 따라 영상 해석 편차
- 비만한 경우 영상 품질 저하
- 장에 가스가 많으면 영상 왜곡 가능
- 전반적 기능 확인은 어려움(조직 단면만 보여줌)















자주 묻는 질문 (FAQ)
Q1. 복부 초음파를 공복에 해야 하나요?
A1. 네. 최소 6시간 이상 금식한 상태에서 검사를 받아야 장 내 가스가 적고, 담낭이 수축되지 않아 정확한 영상 확보가 가능합니다.
Q2. 보험 적용이 되는지 어떻게 알 수 있나요?
A2. 증상이 명확하고 의사의 의학적 판단 하에 시행되는 경우에는 건강보험이 적용됩니다. 단순 건강검진 목적이면 비급여입니다.
Q3. 복부 초음파만으로 암 진단이 가능한가요?
A3. 암의 초기 징후(덩이, 구조 변화 등)는 초음파로 확인할 수 있으나 확진을 위해서는 CT, MRI, 조직검사 등이 추가로 필요할 수 있습니다.
Q4. 검사 중 아프거나 불편한가요?
A4. 아닙니다. 검사 중 통증은 없으며, 젤이 약간 차갑고 눌리는 느낌만 있을 수 있습니다.
Q5. 검사를 자주 받아도 괜찮은가요?
A5. 복부 초음파는 인체에 해가 없기 때문에 자주 받아도 무방합니다. 다만 필요성과 비용을 고려해 의사와 상담 후 결정하는 것이 바람직합니다.















결론
복부 초음파는 간, 담낭, 췌장, 신장, 비장 등 복부 장기의 건강상태를 파악하고, 각종 질환을 조기에 발견할 수 있는 중요한 검사입니다. 증상이 없다 하더라도 고위험군이거나, 만성 질환이 있는 경우 정기적인 복부 초음파 검사가 매우 중요합니다.















검사 자체는 간단하고 빠르며, 인체에 해가 없어 안전성이 매우 높습니다. 다만 검사 전 금식 등의 준비사항과 병원별 비용차이를 고려해 사전에 충분히 알아보는 것이 좋습니다. 복부 건강이 의심되거나 가족력, 생활습관상 위험이 있다면 복부 초음파 검사를 망설이지 말고 받아보시길 권합니다.
'생활정보' 카테고리의 다른 글
| 전자렌지 계란찜 맛있게 하는 법 (0) | 2025.09.25 |
|---|---|
| 자연산 송이버섯 가격 1kg 기준 (0) | 2025.09.21 |
| 12간지 동물순서 (0) | 2025.09.20 |
| 손흥민 해트트릭 영상 멀티골 3호골 4호골 (0) | 2025.09.19 |
| 췌장 위치 오른쪽 등 통증 의심되는병 (0) | 2025.09.14 |